記載医師 牧島 弘和
はじめに
本邦では肝がんによるがん死は2002年をピークに減少傾向にありますが、依然として死亡数では5位、数にして年間2.6万人余りと、大きな割合を占めています※1。肝細胞がんの標準治療としては、病態に応じて、手術、アブレーション治療、肝動脈化学塞栓療法(TACE)、薬物療法などがあり、いずれも良好な成績が得られています。背景にB型肝炎、C型肝炎や最近多い代謝機能障害関連脂肪性肝疾患(MASLD)などがあることから、一度治療しても新しい病気が次々と出てくる(異時性多発)のがこの病気の特徴であり、肝機能を落とさずに治療を行っていくことが大事になってきます。
肝がんに対する放射線治療
肝がんに対する根治的な放射線治療の歴史はまだ浅く、所謂ピンポイント照射と呼ばれる高精度X線治療、また陽子線治療、重粒子線(炭素線)治療といった粒子線治療の出現により、実現可能となった治療です。このため既存治療よりも症例数は少ないですが、肝細胞がんでは2年で90%程度のがんの進行を抑える良好な効果が確認されています※2、※3、※4。 適応としては、種々の理由で手術ができず、また主要血管に近い、腫瘍が大きいなどでアブレーション治療が難しいケースは良い適応になります。

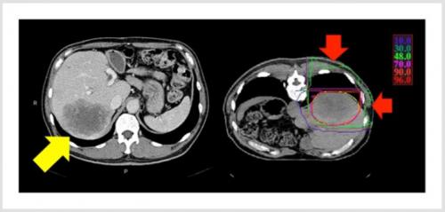
図1 典型的な肝腫瘍に対する重粒子線治療の放射線線量分布(例は大腸がん肝転移)
正常な肝臓には照射されないため、大きな腫瘍でも肝機能を維持できます※6。
肝細胞がんに対する重粒子線治療
肝細胞がんに対する重粒子線治療は、当院では1995年に臨床試験として開始され、今までに500例以上行われています。適応としては肝臓の障害度が中等度以下(Child-Pugh 9点以下)で、多発ではない症例(治療が必要な病巣が3個以下を目安)としております。成績については過去の症例では2年で90~95%程度の局所制御率が得られており※3、現行の線量、分割での成績も同等の結果が得られています(論文投稿中)。
有害事象については重症以上の障害は初期のころに皮膚の障害で3例、胸水貯留を1例認めたのみです。肝機能については、肝硬変の進行が背景にあるケースもあるとは思いますが、6か月時点で肝臓の障害度を示すChild-Pughスコア1点上昇が22%、2点上昇が5%ありました。高精度X線治療では問題となる放射線誘発肝疾患(RILD)が起こったと考えられる症例はありませんでした。
以上から肝細胞がんに対する重粒子線治療は安全な治療であり、局所制御においてもほかの局所療法に近い結果であるといえます。

図2 肝細胞がんに対する重粒子線治療成績※3
肝内胆管がんに対する重粒子線治療
肝内胆管がんに関しては治療実績が乏しく、当院の成績としてお示しできるものは残念ながらありません。しかしながら、安全性に関しては肝細胞がんに対する重粒子線治療のデータを使用できますので、手術が困難な症例については適応があると考えております。
同じ粒子線治療の仲間である陽子線治療での成績は報告があり、2年で90%、3年で70%程度と良好な局所制御が報告されています※5。処方線量からすると、重粒子線治療でも同等の成績が得られると考えており、今後も研究を進めていきたいと考えております。
肝転移に対する重粒子線治療
ほかの臓器で発生したがんの肝臓への転移については、肝臓以外に病変がない、もしくは進行しておらず、肝臓の病変も3個以下を目安として、適応としております。肝細胞がん同様、手術やRFAの適応となりにくい症例にはよい治療と考えております。大腸がんからの肝転移の成績を見ますと、2年の局所制御が80%程度と良好な成績が得られています※6。有害事象については線量増加試験中に2例で一時的な重症の胆管狭窄を認めたものの、いずれも症状を軽減する治療をしながら経過をみて改善しており、基本的には安全に治療可能と考えております。
受診から治療、治療後経過観察の流れ
まずは主治医の先生と治療方針についてよくご相談ください。重粒子線治療について詳しく話をお聞きになりたいということでしたら、紹介状(診療情報提供書)を作成してもらったうえで、今おかかりの医療機関を通じて当院の初診予約をお取りください。
治療は、重粒子線の優れた線量集中性を生かすため、放射線治療用金属マーカーの留置をまずは行います。それに引き続き、治療計画を行うためのCT撮影等を行っていきます。一連の治療準備には3日~4日かかり、検査が多く、食事等の調整もあるため、入院で行うことが多いです。その後、治療計画の作成、計算、検証に1.5~2週間ほどお時間をいただき、実際の治療に入ります。現在、治療は病態や病変の配置に合わせて、2回~4回(1週間)で治療を行っております。大半の症例は1週間以内に治療が完了します。
治療費については、4cm以上の大型の肝細胞がん、肝内胆管がんに関しては保険診療での重粒子線治療が可能になっています。4cm未満の小型の肝細胞癌、転移性肝腫瘍は先進医療Aの対象であり、重粒子線治療本体分の344万円は自己負担となります。これに付随する、診察、入院、検査については保険診療となります。
治療後はご紹介いただいた医療機関、ならびに当院でも経過観察を行って参ります。
終わりに
重粒子線治療は手術やアブレーション治療が難しく、治療の選択肢が少なくなってしまった患者さんでも、多発していなければ良好な局所制御をもたらすことができる治療です。繰り返しの治療が必要となる肝細胞がんの場合は、肝機能を温存するという側面からも、有用な治療方法であると考えています。いつでも、お気軽にお問い合わせください。
文献
※1 国立がん研究センターがん情報サービス「がん登録・統計」.
※2 Fukuda K, Okumura T, Abei M, Fukumitsu N, Ishige K, Mizumoto M, et al. Long-term outcomes of proton beam therapy in patients with previously untreated hepatocellular carcinoma. Cancer science. 2017;108(3):497-503.
※3 Kasuya G, Kato H, Yasuda S, Tsuji H, Yamada S, Haruyama Y, et al. Progressive hypofractionated carbon-ion radiotherapy for hepatocellular carcinoma: Combined analyses of 2 prospective trials. Cancer. 2017;123(20):3955-65.
※4 Sanuki N, Takeda A, Oku Y, Mizuno T, Aoki Y, Eriguchi T, et al. Stereotactic body radiotherapy for small hepatocellular carcinoma: a retrospective outcome analysis in 185 patients. Acta oncologica. 2014;53(3):399-404.
※5 Hong TS, Wo JY, Yeap BY, Ben-Josef E, McDonnell EI, Blaszkowsky LS, et al. Multi-Institutional Phase II Study of High-Dose Hypofractionated Proton Beam Therapy in Patients With Localized, Unresectable Hepatocellular Carcinoma and Intrahepatic Cholangiocarcinoma. Journal of clinical oncology : official journal of the American Society of Clinical Oncology. 2016;34(5):460-8.
※6 Makishima H, Yasuda S, Isozaki Y, Kasuya G, Okada N, Miyazaki M, et al. Single fraction carbon ion radiotherapy for colorectal cancer liver metastasis: A dose escalation study. Cancer science. 2019;110(1):303-9
連絡先
QST病院 地域医療連携室
電話:043-206-3483
ファックス:043-206-3439
受付時間:平日 9時から11時30分、12時30分から16時(※16時以降は翌診療日の対応となります)

043-206-3306
043-206-3345 受付時間:8時30分から17時)
043-284-8852 受付時間:平日9時から11時30分、12時30分から15時 ※不定休 ※治療適応などの判断はできません)
043-206-3483
043-206-3439 受付時間:平日9時から11時30分、12時30分から16時)
043-206-3181
kokusaiml@qst.go.jp ※海外からの受診のご相談受付です)