記載医師 牧島 弘和 / 伊川 裕明
はじめに
眼やその周辺にもがんが発生することがありますが、いずれも極めてまれな病気です。
現在当院では、脈絡膜悪性黒色腫および涙腺がんに対して重粒子線治療を行っています。
眼科腫瘍に対する重粒子線治療
脈絡膜悪性黒色腫について
脈絡膜悪性黒色腫は、その頻度が本邦では人口1000万対で5.0程度と推定されているまれな疾患です※1。眼球脈絡膜悪性黒色腫の治療は眼球摘出術と小線源治療とともに重粒子線や陽子線などの粒子線治療が標準的な治療法とされています※2。古くから眼球摘出術が施行されていましたが、5年生存率は約60%程度で長期生存率は必ずしも良好ではありませんでした。そこで、少なくとも眼球摘出と同等またはそれ以上の長期生存率が得られ、且つ視機能を保存することができるような治療法(光凝固、局所切除術、放射線療法)が近年、欧米を中心に積極的に試みられるようになってきました。パラジウム103 (Pd-103)による強膜縫着照射や光凝固、局所切除術は比較的小さな腫瘍を主たる対象とし、より大きい腫瘍ではコバルト60(Co-60), ヨード125(I-125)による強膜縫着照射、粒子線治療などの放射線治療が中心となっています。
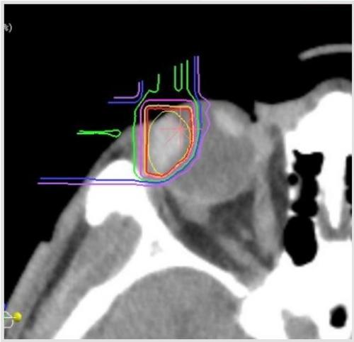
当院においても2001年より眼球脈絡膜悪性黒色腫に対する治療を、重粒子線を用いて施行しており(図1)、局所制御率93%、5年生存率80%と良好な成績が得られています※3。
副作用は、急性期に皮膚炎と結膜炎、角膜炎が見られることがありますが、多くは軽微なもので問題となるようなことは少ないです。その後は血管新生緑内障や腫瘍出血に伴う眼圧上昇が問題となることがありますが、これらの管理に関する経験や技術も向上しており、眼球摘出を強いられるケースは極めて少なくなっています。

図1 脈絡膜悪性黒色腫に対する重粒子線治療の線量分布図。
赤で囲まれた部分が処方線量の95%、緑が50%で照射される領域
涙腺がんについて
涙腺がんは、罹患率が人口1000万対で7.2人程度と報告されており、まれな疾患です。組織型としては腺様嚢胞がんと呼ばれる種類が最も多く、涙腺がんの中の約6割を占めるとされています。明確な標準治療はありませんが、手術と術後の放射線治療が選ばれることが多いです。これらの治療による成績は報告により多少の前後はありますが、5年全生存率で60%程度、5年局所制御率で40~50%程度とされています。また、涙腺がんの根治手術は眼窩内容除去術と呼ばれる大掛かりな手術になり、治療後のQOL(生活の質)の維持や、整容面の問題など課題が多いものとなります。したがって、腫瘍の治癒を得ることと同時に、顔貌を維持し、治療後のQOLを保つことのできる治療法が強く望まれています。
これまでに当院で重粒子線治療を行った治療成績はいくつか報告されており、3年の局所制御率が72-79%と良好な治療成績が確認されました※4,5。
副作用については、主に、眼と皮膚に見られます。急性期には皮膚炎が発生し、軟膏による処置が必要となります。また結膜炎や角膜炎に対しては点眼薬が用いられます。いずれも治療後2か月程度で落ち着いてきます。その後はまず、視力が徐々に低下し、最終的には治療した側の眼は見えなくなる可能性が高いです。またドライアイや角膜炎がみられることがあります。眼圧が上がることもありますが、前述の脈絡膜悪性黒色腫同様に眼球摘出を強いられるケースはまれです。皮膚については治療直後の皮膚炎が落ち着いたあとは、色素沈着(しみ)や脱失(白くなる)が見られことがあります。また、場合によってまつげや眉毛が抜けることもあります。
症例の紹介
右眼窩外側から頭蓋内に進展する涙腺がんに重粒子線治療57.6 Gy/16回を行いました。
治療後腫瘍は消失し、8か月が経過しておりますが再発を認めておりません。

(注)Gyは生物学的効果比加重線量です。
受診から治療、治療後経過観察の流れ
まずは主治医の先生と治療方針についてよくご相談ください。重粒子線治療について詳しく話をお聞きになりたいということでしたら、紹介状(診療情報提供書)を作成してもらったうえで、今おかかりの医療機関を通じて当院の初診予約をお取りください。
まずは初診ののち、治療計画を行うためのCT撮影等を行っていきます。一連の治療準備には3日~4日かかり、検査が多く、食事等の調整もあるため、入院で行うことが多いです。その後、治療計画の作成、計算、検証に1.5~2週間ほどお時間をいただき、実際の治療に入ります。現在、脈絡膜悪性黒色腫は4回(1週間)、涙腺がんは12回(約3週間)で治療を行っております。
治療費については保険診療となります。高額療養費制度の対象となりますので、ご自身の負担額は所得に応じて、24,600円~140,100円となります。詳しくは初診時にお尋ねください。
治療後はご紹介いただいた医療機関、ならびに当院でも経過観察を行って参ります。
おわりに
目やその周囲から発生するがんは非常にまれな疾患な上、大変難しい病気です。重粒子線治療は体への負担が少ない治療で、眼球の温存や、顔貌の変化も小さくできる可能性があります。また、その治療効果も比較的良好と言えます。
ご質問等ございましたら、いつでもお気軽にお問い合わせください。
文献
※1 国立がん研究センターがん情報サービス「がん登録・統計」.
※2 Network, N.C.C. Uveal Melanoma (Version 1.2018). [Accessed May 01, 2019] ; Available from: https://www.nccn.org/professionals/physician_gls/pdf/uveal.pdf.
※3 Toyama, S., et al., Long-term results of carbon ion radiation therapy for locally advanced or unfavorably located choroidal melanoma: usefulness of CT-based 2-port orthogonal therapy for reducing the incidence of neovascular glaucoma. Int J Radiat Oncol Biol Phys, 2013. 86(2): p. 270-6.
※4 Mizoguchi, N., et al., Carbon-ion radiotherapy for locally advanced primary or postoperative recurrent epithelial carcinoma of the lacrimal gland. Radiother Oncol, 2015. 114(3): p. 373-7.
※5 Hayashi K, et al. Efficacy and safety of carbon-ion radiotherapy for lacrimal gland carcinomas with extraorbital extension: a retrospective cohort study. Oncotarget. 2018. 3;9(16):12932-12940.
連絡先
QST病院 地域医療連携室
電話:043-206-3483
ファックス:043-206-3439
受付時間:平日 9時から11時30分、12時30分から16時(※16時以降は翌診療日の対応となります)

043-206-3306
043-206-3345 受付時間:8時30分から17時)
043-284-8852 受付時間:平日9時から11時30分、12時30分から15時 ※不定休 ※治療適応などの判断はできません)
043-206-3483
043-206-3439 受付時間:平日9時から11時30分、12時30分から16時)
kokusaiml=qst.go.jp(=を@に変換してください) ※海外からの受診のご相談受付です)