記載医師 石川 仁 / 磯崎 哲朗
はじめに
当院の食道がんに対する重粒子線治療は、粘膜下層浸潤食道がん(ステージI)に対する根治照射があり、先進医療として行っております。
粘膜下層浸潤食道がん(ステージI)の重粒子線治療
最近、内視鏡検査の診断技術の進歩に伴い、より早期に診断される食道がんの割合が増えています。がんの深さが粘膜内あるいは粘膜下層にとどまる表在がんでは壁深達度によりリンパ節転移の頻度が大きく異なります。粘膜下層に浸潤する病変ではリンパ節転移のリスクが高くなり、局所治療である内視鏡的切除の適応には限界があり、主に手術または化学放射線療法が行われます。日本臨床腫瘍研究グループ(JCOG)の報告ではステージI食道がんに対する5年生存率(治療から5年後に生存が確認できた割合)は、手術では86.5%であり化学放射線療法は85.5%でした。しかし、開胸・開腹を伴う食道がんの手術は侵襲が大きく、術後合併症も少なくありません。また、化学放射線療法では、がんが消えたようにみえても食道に再発する可能性があり、化学療法と放射線療法を併用することで白血球減少、肺臓炎、心嚢水貯留等の副作用の可能性もあります。
重粒子線治療は放射線治療のひとつであり、X線と比べ、高い線量集中性(低い副作用)と高い殺腫瘍効果(高い治療効果)という特長をもつ放射線治療です。QST病院では2008年3月から食道がんの深さが粘膜下層にとどまる病変(T1b)に対して、抗がん剤を併用しない重粒子線治療単独での根治治療を始めました。照射の線量は43.2Gy/12回/3週間より開始し、高度の副作用が発生しないことを確認しながら線量を増加して、現在は50.4Gy/12回で治療を行っています。2008年から2015年までに施行した30例での5年生存率は80.0%であり、手術と比較し、遜色のない結果になっています※1。この治療は、さまざまな理由で手術や抗がん剤治療ができない方でも受けられる可能性のある治療です。
副作用は急性期の食道炎は認めますが、重篤な心臓や肺の合併症は認めておらず、手術や化学放射線療法と比較し副作用発生率の少ない治療であると考えられます。
(注)Gyは生物学的効果比加重線量です。
治療の適応について
1.がんであることを、生検により診断されていることが必要です。MRIやCT/PETなど画像のみによる診断では適応になりません。
2.がんの深さが粘膜下層にとどまる病変(T1b)であり、リンパ節や他臓器への転移を認めない食道がんの方が対象となります。
治療が適応にならない場合について
上記のように生検されていない場合や転移病変を有する場合。また、重い合併症など治療に差し障る全身状態である場合や、医師が治療困難と判断する場合にも、適応にならないことがあります。
重粒子線治療の利点について
前述のように、重粒子線は腫瘍に集中して高い線量を照射することができる性質があるため、重度の副作用発症率を低く維持しながら、高い治療効果が期待できます。
食道がんにおける重粒子線治療の副作用について
照射期間中から出現する典型的な副作用に、食道炎があります。嚥下する時の痛みが特徴で、中には食事摂取が困難になる場合があります。必要に応じて点滴加療を行います。痛みは治療終了後~2週間がピークで、徐々に軽快していきます。
また、食道穿孔や肺炎、胸水、心嚢水(心臓の周りの水)貯留、甲状腺機能低下症などを引き起こす可能性はありますが、極めて稀であり、現在のところ、重篤なこれらの合併症は起きていません。
食道がんに対する重粒子線治療のながれ

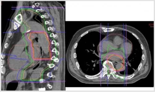
線量分布のご紹介
以下が当院で実際に治療された患者さんの線量分布です。12回照射では、1日1方向ずつ、前後2方向から照射します。

症例のご紹介
以下が深達度T1bの食道がんに対する重粒子線治療前の患者さんの内視鏡画像です。
重粒子線治療を行い、内視鏡上、がんは消失しました。

文献
1. Tetsuro Isozaki, Hitoshi Ishikawa, et al. A Phase I/II Trial of Definitive Carbon Ion Radiotherapy for Clinical T1bN0M0 Esophageal Squamous Cell Carcinoma. Int J Radiation Oncol Biol Phys. 2023. https://doi.org/10.1016/j.ijrobp.2023.04.014
連絡先
QST病院 地域医療連携室
電話:043-206-3483
ファックス:043-206-3439
受付時間:平日 9時から11時30分、12時30分から16時(※16時以降は翌診療日の対応となります)

043-206-3306
043-206-3345 受付時間:8時30分から17時)
043-284-8852 受付時間:平日9時から11時30分、12時30分から15時 ※不定休 ※治療適応などの判断はできません)
043-206-3483
043-206-3439 受付時間:平日9時から11時30分、12時30分から16時)
kokusaiml=qst.go.jp(=を@に変換してください) ※海外からの受診のご相談受付です)